Apa itu Plak gigi?
Permukaan gigi kita tidak pernah betul-betul bersih. Segera setelah kita sikat gigi pun, lapisan tipis (disebut biofilm) akan segera terbentuk, yang mengandung banyak sekali mikroorganisme baik maupun jahat, dan akan bergabung dengan sisa makanan yang kemudian disebut plak gigi
.
 |
| Plak atau kotoran gigi menyebabkan gusi di daerah
leher gigi meradang. Perhatikan bahwa gusi di dekat plak gigi lebih
merah dan bengkak dibandingkan daerah gusi di bawahnya. Pada kondisi
ini, gusi sangat mudah berdarah bahkan hanya dengan sentuhan ringan
misalnya saat makan makanan yang agak keras atau saat menyikat gigi. |
Plak akan "matang" setelah 1-2 hari tanpa penyikatan gigi sama sekali, dan mengandung material organik seperti lemak, protein dan enzim serta material anorganik yaitu mineral terutama kalsium dan fosfor. Plak yang menumpuk dapat menyebabkan peradangan pada gusi, akibatnya gusi bengkak, warnanya merah terang, dan mudah berdarah. Kondisi ini juga dapat menyebabkan bau mulut karena plak akan diolah oleh bakteri dan menghasilkan senyawa sulfur yang menjadi sumber bau tak sedap.
Apa bedanya dengan karang gigi?
Bila tidak dibersihkan secara optimal, mineral-mineral yang berasal dari plak, air liur dan makanan akan terdeposit di dalam plak sehingga lama kelamaan plak akan mengeras, itulah yang disebut karang gigi (
dental calculus). Komposisi dari calculus itu sendiri dapat berbeda-beda, bergantung dari konsentrasi kalsium dan fosfat yang terdapat dalam cairan mulut maupun yang didapat dari makanan/minuman, tingkat keasaman atau pH saliva, adanya ion-ion lain dalam air liur dan yang didapat dari makanan misalnya magnesium, dan masih banyak lagi. Calculus yang terjadi di permukaan gigi ini mirip dengan yang terjadi pada ginjal (batu ginjal) dan empedu. Plak yang menumpuk saja dapat menyebabkan bau mulut, apalagi karang gigi yang melekat di permukaan gigi.
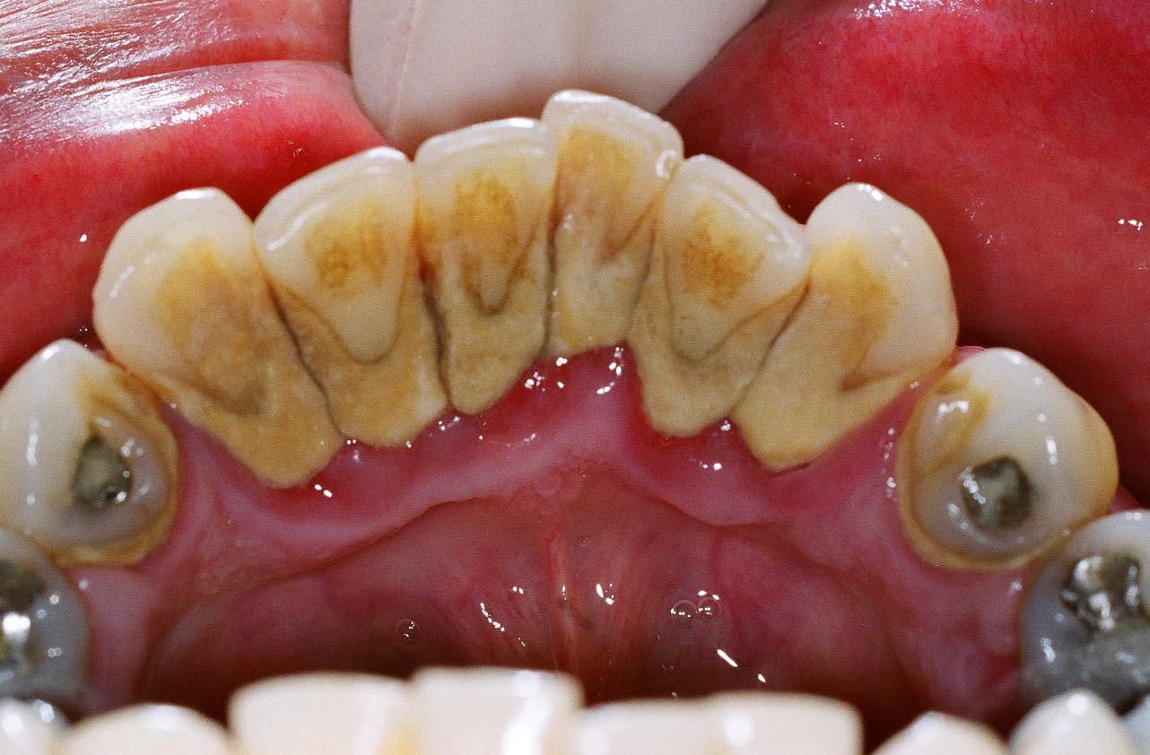
 |
| Perhatikan garis kecoklatan yang tidak seharusnya ada
di daerah leher gigi, itu adalah karang gigi yang sudah berakumulasi
dengan jumlah yang cukup banyak. Akibatnya perlekatan gusi yang
seharusnya melingkari leher gigi menjadi rusak. Lama kelamaan tulang
pun akan turut rusak, dan menyebabkan kegoyangan pada gigi. |
Apa yang mempercepat pembentukan karang gigi?
Kebanyakan orang menganggap air liur sebagai sesuatu yang menjijikkan, namun keberadaannya di dalam rongga mulut sangat penting. Penurunan aliran air liur adalah salah satu hal yang mempercepat pembentukan karang gigi, apalagi kalau penyikatan gigi tidak optimal. Coba perhatikan saat Anda meludah, apakah air liur Anda kental, atau cair dan berbusa? Air liur sangat berperan untuk self-cleaning, dengan adanya air liur, sisa makanan dan plak yang terdapat di permukaan gigi akan terbilas secara mekanis namun hanya efektif pada daerah 2/3 mahkota gigi dan tidak pada daerah leher gigi. Oleh karena itu karang gigi paling banyak terbentuk di daerah leher gigi yaitu daerah mahkota gigi yang berbatasan dengan gusi, yang terlihat sebagai garis kekuningan atau kecoklatan.
Karang gigi bisa bersih dengan sikat gigi?
Tidak, dental calculus tidak dapat dibersihkan hanya dengan sikat gigi, namun dapat dibersihkan dengan penggunaan alat scaler ultrasonik atau dengan hand instrument. Scaler ultrasonik bekerja dengan cara vibrasi atau getaran pada ujung alat yang dapat dilepas dan disterilisasi. Bagian ujung alat tersebut juga menyemprotkan air sehingga membilas karang gigi dan kotoran yang rontok dan menjaga gigi tetap dalam keadaan dingin, karena panas yang timbul akibat gesekan ujung alat dengan gigi dapat menyebabkan trauma pada pulpa gigi. Vibrasi dari ujung scaler tidak merusak email, selama email gigi terbentuk dengan sempurna.
Tips mencegah pembentukan karang gigi
Kecermatan dan kedisiplinan dalam membersihkan dan menyikat gigi sebetulnya lebih penting ketimbang penggunaan pasta gigi tertentu. Terkadang banyak orang yang menyikat gigi asal-asalan yang penting disikat, tapi setelah menyikat gigi plak tetap ada dan kurang bersih. Sikatlah gigi sambil bercermin, dengan memperhatikan arah penyikatan (atas bawah sedikit memutar dan mengenai gusi). Dengan demikian Anda dapat lebih teliti dan dapat melihat apakah plak sudah betul-betul bersih. Ada baiknya Anda juga menerapkan dental flossing setelah menyikat gigi, untuk membersihkan daerah sela gigi yang tidak terjangkau oleh bulu sikat gigi. Dental floss biasanya dapat diperoleh di apotik. Dental floss sangat baik terutama pada orang yang memiliki gigi berjejal atau tumpang tindih
.